1. Wprowadzenie
Technologiczne postępy w dziedzinie obrazowania medycznego sprawiły, że szpitale muszą radzić sobie z coraz większą ilością różnorodnych danych. W efekcie w placówkach medycznych popularne stało się korzystanie z wielu rodzajów kolorowych i monochromatycznych obrazów jednocześnie. Tę tendencję dodatkowo wspierają i napędzają nowoczesne wyświetlacze LCD, oferujące wysoki poziom jasności i wysoki współczynnik kontrastu.
Odtwarzanie monochromatycznych i kolorowych obrazów na jednym ekranie stanowi jednak poważne wyzwanie z technicznego punktu widzenia – a to dlatego, że monochromatyczne obrazy muszą być wyświetlane z zastosowaniem ustandaryzowanych wartości gamma, które są zupełnie inne dla obrazów kolorowych.
Norma DICOM (ang. Digital Imaging and Communications in Medicine – obrazowanie cyfrowe i wymiana obrazów w medycynie) część 14 podaje dokładne wytyczne dotyczące wartości gamma dla obrazów monochromatycznych, znane pod nazwą GSDF (Grayscale Standard Display Function). Wartości te, przyjęte przez wiele międzynarodowych instytucji takich jak AAPM, DIN, JIRA czy IEC, wykorzystuje się powszechnie do kontroli jakości monitora.
Tymczasem przy wyświetlaniu obrazów kolorowych często stosuje się wartości gamma znane jako Gamma 2.2, określone dla przestrzeni barwnej sRGB (rys. 1).*
Niektóre monitory medyczne korzystają z technologii umożliwiających przełączanie się między obrazami DICOM w skali szarości i kolorowymi obrazami Gamma 2.2, aby wyświetlać jedne i drugie z odpowiednią krzywą gamma (rys. 2). Takie rozwiązanie wymaga zazwyczaj ręcznego przestawiania trybu i nie pozwala na wyświetlanie monochromatycznych i kolorowych obrazów jednocześnie na wspólnym ekranie.
Technologia Hybrid Gamma PXL całkowicie rozwiązuje ten problem, ponieważ potrafi wyświetlać zarówno kolorowe, jak i monochromatyczne obrazy medyczne z odpowiednimi wartościami gamma. Użytkownik nie musi też niczego ustawiać ani wybierać ręcznie – Hybrid Gamma PXL automatycznie odróżnia obrazy kolorowe od monochromatycznych, badając je piksel po pikselu, a następnie wyświetla badania hybrydowo. Dzięki temu każdy widoczny na ekranie piksel ma optymalną skalę szarości.
Poniżej przedstawiamy najważniejsze cechy tej innowacyjnej technologii i omawiamy jej zgodność ze standardem DICOM część 14 w oparciu o badanie przeprowadzone niedawno w japońskim szpitalu Kumamoto Chuo.
* AAPM (American Association of Physicists in Medicine) oraz ICC (International Color Consortium) pracują nad ustandaryzowaniem kryteriów dotyczących wyświetlania kolorowych obrazów medycznych.
Rys. 1 Wartości standardów GSDF i Gamma 2.2
Rys. 2 Różne tryby wyświetlania
2. Zarys technologii Hybrid Gamma PXL
Teoretycznie tradycyjne, kolorowe monitory medyczne potrafią przełączać się między trybami GSDF i Gamma 2.2, ale lekarze najczęściej ograniczają się do korzystania z krzywej gamma GSDF, aby uniknąć niewygód związanych z koniecznością ręcznej zmiany ustawień.
Zdarza się zatem, że kolorowe obrazy nie są optymalnie wyświetlane. Jak pokazano na przykładzie poniżej (rys. 3), po wybraniu krzywej GSDF półtony kolorowych obrazów stają się ciemniejsze, przez co badania trudniej jest odczytać.
Rys. 3 Widoczne różnice
(Na niebiesko zaznaczono obrazy monochromatyczne, na czerwono obrazy kolorowe)
Hybrid Gamma PXL eliminuje to zjawisko, analizując wszystkie obrazy piksel po pikselu i przypisując im odpowiednie wartości krzywej gamma w czasie rzeczywistym. Oznacza to, że do wyświetlania pikseli monochromatycznych używane są wartości GSDF, a do wyświetlania pikseli kolorowych wartości Gamma 2.2.
Rys. 4 Algorytm Hybrid Gamma PXL
W ramach funkcji Hybrid Gamma PXL dla kolorowych obrazów zawierających monochromatyczne piksele zostanie zastosowana specjalna technika mieszania usuwająca szumy.
3. Badanie
Celem badania przeprowadzonego przez doktora Kazuhiro Katahirę, radiologa ze szpitala Kumamoto Chuo, była ocena technologii Hybrid Gamma PXL pod kątem skuteczności i bezpieczeństwa. Analizie poddano trzy aspekty:
1) zgodność ze standardem DICOM część 14 przy odczycie badań monochromatycznych,
2) skuteczność diagnozy opartej na kolorowych badaniach z krzywą Gamma 2.2,
3) różnice w stosowaniu „mieszanej” krzywej opartej na Gamma 2.2 i prawdziwej krzywej Gamma 2.2.
Czas, miejsce i uczestnicy
Okres: od 23 maja 2017 do 3 lipca 2017
Miejsce: gabinet diagnostyczny w szpitalu Kumamoto Chuo
Uczestnicy: dwóch radiologów z 12 i 27-letnim doświadczeniem
Urządzenia
Dwa kolorowe monitory 5MP (EIZO RadiForce RX560)
* Z ustawieniami wskazanymi w tabelce „Ustawienia monitora”.
Obrazy testowe
Tabela nr 1: Obrazy testowe
Konfiguracja
Tabela nr 2: Ustawienia monitora
Rys. 5. Zestawienie monitorów
Sposób oceny
Trzy opcje do wyboru:
(A) > (B) lub (A) > (C) : (A) zapewnia lepszą diagnozę.
(A) = (B) or (A) = (C) : Nie ma wyraźnej różnicy.
(A) < (B) lub (A) < (C) : (B) lub (C) zapewnia lepszą diagnozę.
Procedura testowa
1) Wyświetlenie obrazu testowego na urządzeniach (A) i (B). (rys. 5, po lewej)
2) Wybór jednej z dwóch opcji na podstawie porównania (A) i (B)
3) Wyświetlenie obrazu testowego na urządzeniach (A) i (C). (rys. 5, po prawej)
4) Wybór jednej z dwóch opcji na podstawie porównania (A) i (C)
Analiza
Wyliczenie łącznej sumy punktów dla poszczególnych grup:
– Wszystkie badania
– Badania monochromatyczne
– Badania kolorowe
* Końcowe wyniki stanowią średnią punktów przyznanych przez obu badanych.
4. Rezultaty
Poniższe wykresy przedstawiają wyniki wszystkich badań, badań monochromatycznych i badań kolorowych.
Rys. 6 Hybrid Gamma PXL i GSDF (Wszystkie badania) Rys. 7 Hybrid Gamma PXL i 2.2 (Wszystkie badania)
Rys. 8 Hybrid Gamma PXL i GSDF (Badania monochromatyczne) Rys. 9 Hybrid Gamma PXL i 2.2 (Badania monochromatyczne)
Rys. 10 Hybrid Gamma PXL i GSDF (Badania kolorowe) Rys. 11 Hybrid Gamma PXL i 2.2 (Badania kolorowe)
Poniżej zestawiono oceniane obrazy dla porównania.
Rys. 12 Przykładowe obrazy RI (Hybrid Gamma PXL, po lewej, GSDF w środku, 2.2 po prawej)
Rys. 13 Przykładowe obrazy ES (Hybrid Gamma PXL po lewej, GSDF w środku, 2.2 po prawej)
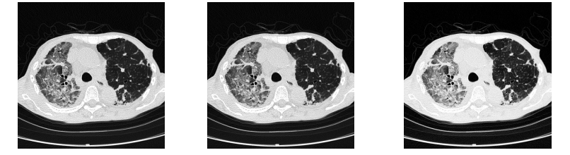
Rys. 14 Przykładowe obrazy CT (Hybrid Gamma PXL po lewej, GSDF w środku, 2.2 po prawej)
Poniżej podsumowujemy trzy badane aspekty technologii Hybrid Gamma PXL.
1) Zgodność ze standardem DICOM część 14 przy odczycie badań monochromatycznych
Rys. 8 pokazuje, że dla 8,5 z 9 monochromatycznych obrazów (ok. 94%) tryb Hybrid Gamma PXL stosujący DICOM GSDF został oceniony na równi z trybem DICOM GSDF, a w jednym przypadku tryb Hybrid Gamma PXL stosujący DICOM GSDF oceniono lepiej niż tryb DICOM GSDF. Nie zdarzyło się natomiast, by tryb DICOM GSDF został oceniony lepiej niż tryb Hybrid Gamma PXL.
Jak wyjaśniono wcześniej, tryb Hybrid Gamma PXL stosuje DICOM GSDF dla wszystkich pikseli monochromatycznych. Wyniki testu potwierdziły, że obrazy monochromatyczne oglądane w trybie Hybrid Gamma PXL wyświetlają się prawidłowo.
2) Skuteczność diagnozy opartej na kolorowych badaniach z krzywą Gamma 2.2
Rys. 10 pokazuje, że dla 31,5 z 86 kolorowych obrazów (ok. 37%) tryb Hybrid Gamma PXL stosujący „mieszaną” krzywą Gamma 2.2 został oceniony lepiej niż tryb krzywej gamma GSDF, a wśród ocenionych w ten sposób badań znalazły się wyłącznie obrazy ES lub RI, bez obrazów US. Nie zdarzyło się, by tryb DICOM GSDF został oceniony lepiej niż tryb Hybrid Gamma stosujący „mieszaną” krzywą Gamma 2.2.
3) Różnice w stosowaniu „mieszanej” krzywej opartej na Gamma 2.2 i prawdziwej krzywej Gamma 2.2
Rys. 11 pokazuje, że dla 66 z 86 kolorowych obrazów (ok. 77%) tryb Hybrid Gamma PXL stosujący „mieszaną” krzywą Gamma 2.2 został oceniony na równi z trybem Gamma 2.2. Z kolei dla 8,5 z 86 kolorowych obrazów (ok. 10%) tryb Hybrid Gamma PXL stosujący „mieszaną” krzywą Gamma 2.2 został oceniony lepiej niż tryb Gamma 2.2.
Stosowanie „mieszanej” krzywej Gamma 2.2 do wyświetlania kolorowych obrazów w żaden sposób nie pogarsza ich jakości.
5. Wnioski
Bezpieczeństwo
Jak widać w podpunkcie (1), tryb Hybrid Gamma PXL prawidłowo wyświetla obrazy monochromatyczne i działa tak samo, jak zwykły tryb GSDF. Oznacza to, że tryb Hybrid Gamma PXL jest zgodny ze standardem DICOM część 14 w zakresie wyświetlania obrazów monochromatycznych. Z podpunktu (3) wynika natomiast, że przy przeprowadzaniu diagnozy kolorowych badań nie ma różnicy między obrazami z krzywą opartą na Gamma 2.2 a tymi samym obrazami z prawdziwą krzywą Gamma 2.2.
Skuteczność
Podpunkt (2) wskazuje na dużą różnicę (37% spośród 86 kolorowych badań) w diagnozie pomiędzy trybem Hybrid Gamma PXL z „mieszaną” krzywą Gamma 2.2 a trybem z krzywą gamma GSDF. Wyniki sugerują, że analiza kolorowych obrazów jest bardziej efektywna w trybie Hybrid Gamma PXL niż w samym trybie GSDF.
Można zatem stwierdzić, że technologia Hybrid Gamma PXL umożliwia diagnozę na takim samym poziomie, jak DICOM GSDF, a jednocześnie poprawia diagnozę kolorowych obrazów, nie niosąc żadnych negatywnych skutków.
Zalety technologii Hybrid Gamma PXL
Monitory opisowe (diagnostyczne), przeglądowe i ogólnego zastosowania Dicom.
- Informator
- Ogłaszacz Świetnych Rzeczy
- Kontakt:
- Posty: 182
- Rejestracja: 28 września 2010, 16:08 - wt
Przejdź do
- Fotografia, grafika i dtp
- Zastosowania zawodowe
- Zastosowania amatorskie
- Reprodukcja zdjęć
- Oprogramowanie
- Zastosowania specjalne
- Projektowanie CAD, środowiska CAM
- Telewizja i przemysł filmowy
- Ekrany wielkoformatowe
- Medycyna
- Inne
- Kalibracja
- Kalibracja monitorów
- Profilowanie drukarek
- Profilowanie skanerów
- O monitorach ogólnie
- Polecane monitory
- EIZO
- Dobór monitora, akcesoria, ustawienia
- Dział handlowy
- Dział wsparcia technicznego
- NEC
- Dobór monitora, akcesoria, ustawienia
- Dział handlowy
- Dział wsparcia technicznego
- Monitory różne
- Laboratorium
- Krótkie recenzje monitorów
- Monitory od środka
- Porównania
- Podłączenie, użytkowanie
- Praca wielomonitorowa, podłączenia, dobór, problemy
- Oświetlenie, akcesoria, uchwyty, osłony
- Serwis
- Różne
- Komputery
- HydePark
- Ogłoszenia
- Sprawy techniczne forum
- Regulamin, informacje techniczne i zmiany na forum
- Książka skarg i wniosków
Kto jest online
Użytkownicy przeglądający to forum: Obecnie na forum nie ma żadnego zarejestrowanego użytkownika i 1 gość
Ostatnio na forum...
- Co zamiast Apple Studio Display 5K jako upgrade EA271? :) Filip 01 grudnia 2025, 17:55 - pn
- Sprzedam EIZO CG2730, stan idealny, niski przebieg. johnnymva 22 listopada 2025, 12:18 - sob
- Następca dla Eizo EV2450 – 27" 1440p, bez szerokiego gamutu NocnyJastrzab 16 listopada 2025, 09:56 - ndz
- Kalibracja wzroku... Czornyj 14 listopada 2025, 10:55 - pt
- Dual Mode w nowych monitorach. Trakotitek 12 listopada 2025, 14:17 - śr
- Monitor 32" 4K - praca biurowa, zdjęcia NocnyJastrzab 10 listopada 2025, 09:36 - pn
- Poszukiwania nowego monitora 27" 4k KubaT 04 listopada 2025, 22:49 - wt
- Poszukiwanie monitora 720p Kyle 01 listopada 2025, 13:54 - sob
- Problem z monitorem VA w grze po wejściu do ciemnego pomieszczenia KubaT 10 października 2025, 11:22 - pt
- Podłączenie Displayport do laptopa NocnyJastrzab 09 października 2025, 16:11 - czw
- Drukarka Epson Stylus Pro 3880 A2, monitor Nec PA242W i Kalibrator NEC Spectra Sensor Pro meehow 07 października 2025, 21:24 - wt
- Jego Szerokość NEC PA311D - w trakcie multispektralnych testów <3 Czornyj 04 października 2025, 15:15 - sob
- SHARP MultiSync EA272UB vs EIZO FlexSCan EV2740X Czornyj 29 września 2025, 13:16 - pn
- Problem z monitorem EA271U i Mac M4 Max PiotrH 22 września 2025, 19:58 - pn
- Jaki Kalibrator do NEC PA 271Q | NEC EA 271U ? hest 01 września 2025, 11:55 - pn
Informacje
Jest 4 użytkowników online :: 3 zarejestrowanych, 0 ukrytych i 1 gość
Zarejestrowani użytkownicy: Ahrefs [Bot], Baidu [Spider], Semrush [Bot]
Najwięcej użytkowników (76) było online 24 kwietnia 2022, 10:40 - ndz
Zarejestrowani użytkownicy: Ahrefs [Bot], Baidu [Spider], Semrush [Bot]
Najwięcej użytkowników (76) było online 24 kwietnia 2022, 10:40 - ndz
Liczba postów: 70155
Liczba tematów: 4230
Liczba użytkowników: 4014
Ostatnio zarejestrowany użytkownik: Harnas
Liczba tematów: 4230
Liczba użytkowników: 4014
Ostatnio zarejestrowany użytkownik: Harnas
Nikt dzisiaj nie obchodzi urodzin